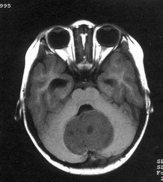
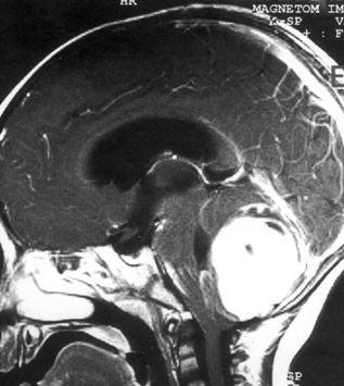
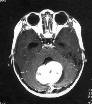
病历摘要:??患儿男性,11岁。半年前开始出现行走不稳,常无故跌倒。半月前出现发作性剧烈头痛,伴恶心呕吐。体检:T36℃,P100次/分,R22次/分,B...

作者: rantiku 人气: - 评论: 0
问题 病历摘要:??患儿男性,11岁。半年前开始出现行走不稳,常无故跌倒。半月前出现发作性剧烈头痛,伴恶心呕吐。体检:T36℃,P100次/分,R22次/分,BP100/60mmHg,神清,言语较缓慢,双眼外展约不及边,双眼侧视时有小幅度水平眼震。四肢肌力正常,右上肢肌张力较低,坐位姿势不稳,常不自主摇晃,双上肢指鼻不准,行走蹒跚步态,足距扩大,身前倾。 患儿目前出现了哪些方面的临床症状
选项 A.颅内压增高表现 B.小脑蚓部损害表现 C.动眼神经损害 D.滑车神经损害 E.展神经损害 F.面神经 G.锥体束征 H.锥体外系损害
答案 ABE
解析 ABE

猜你喜欢

发表评论
更多 网友评论0 条评论)
暂无评论

访问排行

Copyright © 2012-2014 恰考网 Inc. 保留所有权利。 Powered by tikuer.com

页面耗时0.0640秒, 内存占用1.03 MB, Cache:redis,访问数据库20次