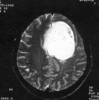
病历摘要:??患者女性,37岁。大便时突起炸裂样头痛3小时,伴喷射样呕吐。既往体健。体检:T37.5℃,BP145/90mmHg,R20次/分,P85次/...

作者: rantiku 人气: - 评论: 0
问题 病历摘要:??患者女性,37岁。大便时突起炸裂样头痛3小时,伴喷射样呕吐。既往体健。体检:T37.5℃,BP145/90mmHg,R20次/分,P85次/分。神志清楚,颅神经检查无异常,颈强直,克、布氏征(-),四肢肌力、肌张力正常,病理征(-)。 根据病史,最可能的诊断是什么?
选项 A.脑栓塞 B.脑血栓形成 C.蛛网膜下腔出血 D.脑炎 E.血管性头痛 F.脑膜炎 G.脑出血
答案 C
解析 C

猜你喜欢

发表评论
更多 网友评论0 条评论)
暂无评论

访问排行

Copyright © 2012-2014 恰考网 Inc. 保留所有权利。 Powered by tikuer.com

页面耗时0.0696秒, 内存占用1.03 MB, Cache:redis,访问数据库17次