病历摘要:??患者,男,40岁。发作性左下肢抽搐1年余,每次发作3~5分,每周发作1~2次。每次发作后感左下肢乏力,约半日后可自行恢复。既往身体健康。体检...

作者: rantiku 人气: - 评论: 0
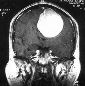
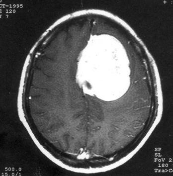
问题 病历摘要:??患者,男,40岁。发作性左下肢抽搐1年余,每次发作3~5分,每周发作1~2次。每次发作后感左下肢乏力,约半日后可自行恢复。既往身体健康。体检:神清,头顶部偏右有局限性骨性隆起(1.5×1.5cm),左鼻唇沟稍浅,伸舌居中。感觉、运动无明显异常。左浅反射减退,左下肢腱反射稍亢进,左Babinski征(-)。 术中下列哪些处理是错误的?提示:脑血管造影示上矢状窦中段闭塞,肿瘤有右脑膜中动脉和大脑前动脉分支供血。
选项 A.切皮前半小时给予抗生素 B.右顶开颅,切口至中线 C.电灼上矢状窦表面出血 D.对横跨在肿瘤表面的中央静脉电凝后切断 E.沿肿瘤和脑组织分界面以食指分离 F.连同肿瘤一起切除相连的矢状窦 G.切除受侵犯的硬膜,以人工脑膜修补 H.去除受侵犯的颅骨,以人工颅骨修补 I.术中静滴德巴金
答案 DE
解析 DE

猜你喜欢

发表评论
更多 网友评论0 条评论)
暂无评论

访问排行

Copyright © 2012-2014 恰考网 Inc. 保留所有权利。 Powered by tikuer.com

页面耗时0.0453秒, 内存占用1.03 MB, Cache:redis,访问数据库20次