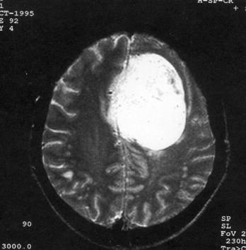
病历摘要:??患者女性,37岁。大便时突起炸裂样头痛3小时,伴喷射样呕吐。既往体健。体检:T37.5℃,BP145/90mmHg,R20次/分,P85次/...

作者: rantiku 人气: - 评论: 0
问题 病历摘要:??患者女性,37岁。大便时突起炸裂样头痛3小时,伴喷射样呕吐。既往体健。体检:T37.5℃,BP145/90mmHg,R20次/分,P85次/分。神志清楚,颅神经检查无异常,颈强直,克、布氏征(-),四肢肌力、肌张力正常,病理征(-)。 按Hunt&?Hess的动脉瘤危险性分级,该患者可分为几级?
选项 A.0级 B.Ⅰ级 C.Ⅱ级 D.Ⅲ级 E.Ⅳ级 F.Ⅴ级 G.Ⅵ级 H.Ⅶ级
答案 C
解析 C

猜你喜欢

发表评论
更多 网友评论0 条评论)
暂无评论

访问排行

Copyright © 2012-2014 恰考网 Inc. 保留所有权利。 Powered by tikuer.com

页面耗时0.0529秒, 内存占用1.03 MB, Cache:redis,访问数据库20次