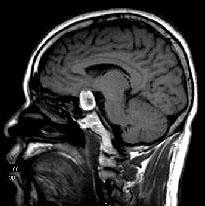
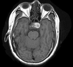
男性,55岁,头痛1年余,2个小时前突然出现剧烈头痛,MRI检查如图所示,最可能的诊断为()A.垂体瘤B.脑膜瘤C.颅咽管瘤D...

作者: rantiku 人气: - 评论: 0
问题 男性,55岁,头痛1年余,2个小时前突然出现剧烈头痛,MRI检查如图所示,最可能的诊断为()
选项 A.垂体瘤 B.脑膜瘤 C.颅咽管瘤 D.垂体瘤并卒中 E.动脉瘤
答案 D
解析

猜你喜欢

发表评论
更多 网友评论0 条评论)
暂无评论

访问排行

Copyright © 2012-2014 恰考网 Inc. 保留所有权利。 Powered by tikuer.com

页面耗时0.0448秒, 内存占用1.03 MB, Cache:redis,访问数据库20次