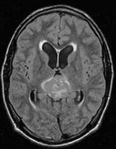
松果体区肿瘤(如图所示)的临床表现哪项不正确()A.女性病人性早熟B.尿崩症C.瞳孔对光反应和调节反应障碍D.水平眼球震颤E.上视障碍

作者: rantiku 人气: - 评论: 0
问题 松果体区肿瘤(如图所示)的临床表现哪项不正确()
选项 A.女性病人性早熟 B.尿崩症 C.瞳孔对光反应和调节反应障碍 D.水平眼球震颤 E.上视障碍
答案 A
解析

猜你喜欢

发表评论
更多 网友评论0 条评论)
暂无评论
错误啦!

错误信息

  • 消息: [程序异常] : MISCONF Redis is configured to save RDB snapshots, but it's currently unable to persist to disk. Commands that may modify the data set are disabled, because this instance is configured to report errors during writes if RDB snapshotting fails (stop-writes-on-bgsave-error option). Please check the Redis logs for details about the RDB error.
  • 文件: /twcms/kongphp/cache/cache_redis.class.php
  • 位置: 第 85 行
    <?php echo 'KongPHP, Road to Jane.'; ?>