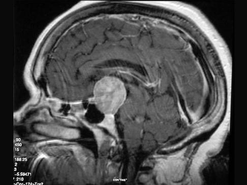
垂体腺瘤(如图所示)首选的治疗方法为()A.溴隐亭治疗B.放射治疗C.化学治疗D.手术治疗E.伽玛刀治疗

作者: rantiku 人气: - 评论: 0
问题 垂体腺瘤(如图所示)首选的治疗方法为()
选项 A.溴隐亭治疗 B.放射治疗 C.化学治疗 D.手术治疗 E.伽玛刀治疗
答案 D
解析

猜你喜欢

发表评论
更多 网友评论0 条评论)
暂无评论

访问排行

Copyright © 2012-2014 恰考网 Inc. 保留所有权利。 Powered by tikuer.com

页面耗时0.0955秒, 内存占用1.03 MB, Cache:redis,访问数据库19次