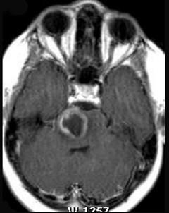
脑干肿瘤(如图所示)最多见的是()A.星形细胞瘤B.室管膜瘤C.胶质母细胞瘤D.海绵状血管瘤E.血管网状细胞瘤

作者: rantiku 人气: - 评论: 0
问题 脑干肿瘤(如图所示)最多见的是()
选项 A.星形细胞瘤 B.室管膜瘤 C.胶质母细胞瘤 D.海绵状血管瘤 E.血管网状细胞瘤
答案 A
解析

猜你喜欢

发表评论
更多 网友评论0 条评论)
暂无评论
错误啦!

错误信息

  • 消息: [程序异常] : MISCONF Redis is configured to save RDB snapshots, but it's currently unable to persist to disk. Commands that may modify the data set are disabled, because this instance is configured to report errors during writes if RDB snapshotting fails (stop-writes-on-bgsave-error option). Please check the Redis logs for details about the RDB error.
  • 文件: /twcms/kongphp/cache/cache_redis.class.php
  • 位置: 第 85 行
    <?php echo 'KongPHP, Road to Jane.'; ?>