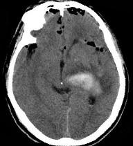
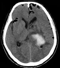
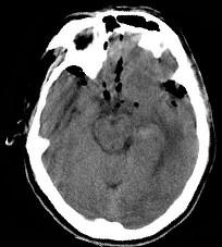
男,32岁,外伤后一天,CT检查如图,下面哪项诊断最恰当()A.脑膜瘤B.脑出血并颅内积气C.脑出血D.颅脑外伤E.颅内积气

作者: rantiku 人气: - 评论: 0
问题 男,32岁,外伤后一天,CT检查如图,下面哪项诊断最恰当()
选项 A.脑膜瘤 B.脑出血并颅内积气 C.脑出血 D.颅脑外伤 E.颅内积气
答案 B
解析

猜你喜欢

发表评论
更多 网友评论0 条评论)
暂无评论

访问排行

Copyright © 2012-2014 恰考网 Inc. 保留所有权利。 Powered by tikuer.com

页面耗时0.0647秒, 内存占用1.03 MB, Cache:redis,访问数据库19次