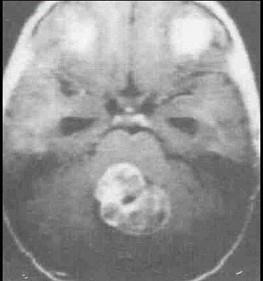
下面哪一项不符合髓母细胞瘤(如图所示)表现()A.髓母细胞瘤起源于后髓帆外颗粒层的残余胚细胞B.好发于小脑蚓部C.主要发生于小儿,是儿童第2位...

作者: rantiku 人气: - 评论: 0
问题 下面哪一项不符合髓母细胞瘤(如图所示)表现()
选项 A.髓母细胞瘤起源于后髓帆外颗粒层的残余胚细胞 B.好发于小脑蚓部 C.主要发生于小儿,是儿童第2位常见肿瘤 D.病情发展较快,一般为半年至1年 E.对放疗不敏感
答案 E
解析

猜你喜欢

发表评论
更多 网友评论0 条评论)
暂无评论

访问排行

Copyright © 2012-2014 恰考网 Inc. 保留所有权利。 Powered by tikuer.com

页面耗时0.0394秒, 内存占用1.03 MB, Cache:redis,访问数据库19次