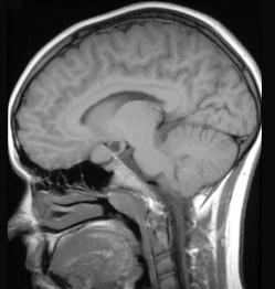
关于星形细胞瘤(如图所示)的描述错误的是()A.肿瘤多呈浸润性生长B.可分为纤维型、原浆型、肥胖细胞型C.主要位于灰质内D.实性者无明显边...

作者: rantiku 人气: - 评论: 0
问题 关于星形细胞瘤(如图所示)的描述错误的是()
选项 A.肿瘤多呈浸润性生长 B.可分为纤维型、原浆型、肥胖细胞型 C.主要位于灰质内 D.实性者无明显边界 E.可不限于一个脑叶
答案 C
解析

猜你喜欢

发表评论
更多 网友评论0 条评论)
暂无评论
错误啦!

错误信息

  • 消息: [程序异常] : MISCONF Redis is configured to save RDB snapshots, but it's currently unable to persist to disk. Commands that may modify the data set are disabled, because this instance is configured to report errors during writes if RDB snapshotting fails (stop-writes-on-bgsave-error option). Please check the Redis logs for details about the RDB error.
  • 文件: /twcms/kongphp/cache/cache_redis.class.php
  • 位置: 第 85 行
    <?php echo 'KongPHP, Road to Jane.'; ?>