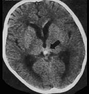
关于松果体区生殖细胞瘤(如图所示)临床表现叙述错误的是()A.共济失调B.听力障碍C.尿崩症D.Parinaud综合征E.性发育迟缓

作者: rantiku 人气: - 评论: 0
问题 关于松果体区生殖细胞瘤(如图所示)临床表现叙述错误的是()
选项 A.共济失调 B.听力障碍 C.尿崩症 D.Parinaud综合征 E.性发育迟缓
答案 E
解析

猜你喜欢

发表评论
更多 网友评论0 条评论)
暂无评论

访问排行

Copyright © 2012-2014 恰考网 Inc. 保留所有权利。 Powered by tikuer.com

页面耗时0.0444秒, 内存占用1.03 MB, Cache:redis,访问数据库19次