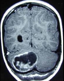
男性,39岁,头痛、步态不稳3个月。查体:神清,双侧视乳头水肿,右侧轮替动作不能。周围血象红细胞增多,B超发现右肾有一囊性肿物,头颅CT发现右小脑半球囊性...

作者: rantiku 人气: - 评论: 0
问题 男性,39岁,头痛、步态不稳3个月。查体:神清,双侧视乳头水肿,右侧轮替动作不能。周围血象红细胞增多,B超发现右肾有一囊性肿物,头颅CT发现右小脑半球囊性占位性病变(如图所示)。其病变性质最可能是()
选项 A.转移瘤 B.血管网状细胞瘤 C.上皮样囊肿 D.脑脓肿 E.星形细胞瘤
答案 B
解析

猜你喜欢

发表评论
更多 网友评论0 条评论)
暂无评论

访问排行

Copyright © 2012-2014 恰考网 Inc. 保留所有权利。 Powered by tikuer.com

页面耗时0.0359秒, 内存占用1.03 MB, Cache:redis,访问数据库15次