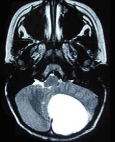
后颅窝脑肿瘤(如图所示)可出现下列症状与体征,但不出现()A.颈项强直B.剧烈头痛C.运动性失语D.共济障碍E.视神经孔扩大

作者: rantiku 人气: - 评论: 0
问题 后颅窝脑肿瘤(如图所示)可出现下列症状与体征,但不出现()
选项 A.颈项强直 B.剧烈头痛 C.运动性失语 D.共济障碍 E.视神经孔扩大
答案 C
解析

猜你喜欢

发表评论
更多 网友评论0 条评论)
暂无评论

访问排行

Copyright © 2012-2014 恰考网 Inc. 保留所有权利。 Powered by tikuer.com

页面耗时0.0496秒, 内存占用1.03 MB, Cache:redis,访问数据库20次