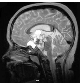
关于颅咽管瘤(见图)下列哪项不正确()A.男性多于女性B.囊性变且包膜钙化多见C.多见于成年人D.常发生在鞍上E.约占颅内肿瘤的5%

作者: rantiku 人气: - 评论: 0
问题 关于颅咽管瘤(见图)下列哪项不正确()
选项 A.男性多于女性 B.囊性变且包膜钙化多见 C.多见于成年人 D.常发生在鞍上 E.约占颅内肿瘤的5%
答案 C
解析

猜你喜欢

发表评论
更多 网友评论0 条评论)
暂无评论

访问排行

Copyright © 2012-2014 恰考网 Inc. 保留所有权利。 Powered by tikuer.com

页面耗时0.0499秒, 内存占用1.03 MB, Cache:redis,访问数据库20次