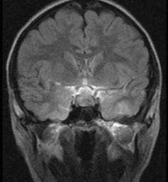
鞍区占位病变(见图)引的典型视野障碍是()A.双眼颞侧偏盲B.象限盲C.一侧单侧偏盲D.同向偏盲E.一侧全盲

作者: rantiku 人气: - 评论: 0
问题 鞍区占位病变(见图)引的典型视野障碍是()
选项 A.双眼颞侧偏盲 B.象限盲 C.一侧单侧偏盲 D.同向偏盲 E.一侧全盲
答案 A
解析

猜你喜欢

发表评论
更多 网友评论0 条评论)
暂无评论

访问排行

Copyright © 2012-2014 恰考网 Inc. 保留所有权利。 Powered by tikuer.com

页面耗时0.0411秒, 内存占用1.03 MB, Cache:redis,访问数据库20次