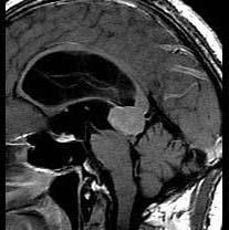
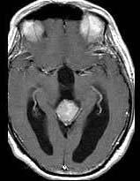
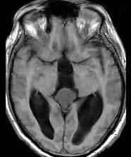
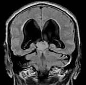
15岁,男,头痛、呕吐,步态不稳,眼球震颤,性发育异常,MRI检查如图,最可能的诊断()A.松果体钙化B.松果体瘤C.脑膜瘤D...

作者: rantiku 人气: - 评论: 0
问题 15岁,男,头痛、呕吐,步态不稳,眼球震颤,性发育异常,MRI检查如图,最可能的诊断()
选项 A.松果体钙化 B.松果体瘤 C.脑膜瘤 D.生殖细胞瘤 E.畸胎瘤
答案 B
解析

猜你喜欢

发表评论
更多 网友评论0 条评论)
暂无评论

访问排行

Copyright © 2012-2014 恰考网 Inc. 保留所有权利。 Powered by tikuer.com

页面耗时0.0421秒, 内存占用1.03 MB, Cache:redis,访问数据库13次