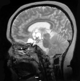
关于颅咽管瘤(见图)的发生,以下哪项正确()A.儿童鞍区最常见的肿瘤B.颅咽管正常在出生后7~8周退化消失C.境界明显,有包膜D.鞍内型最...

作者: rantiku 人气: - 评论: 0
问题 关于颅咽管瘤(见图)的发生,以下哪项正确()
选项 A.儿童鞍区最常见的肿瘤 B.颅咽管正常在出生后7~8周退化消失 C.境界明显,有包膜 D.鞍内型最常见 E.小儿颅咽管瘤组织学多为鳞状表皮型
答案 A
解析

猜你喜欢

发表评论
更多 网友评论0 条评论)
暂无评论

访问排行

Copyright © 2012-2014 恰考网 Inc. 保留所有权利。 Powered by tikuer.com

页面耗时0.0747秒, 内存占用1.03 MB, Cache:redis,访问数据库20次