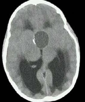
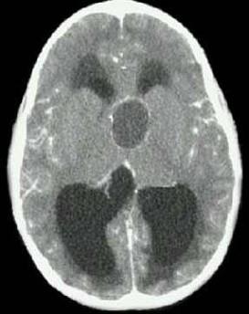
女,38岁,闭经、嗜睡、尿多、视物模糊半年,精神烦躁,CT、MRI检查如图,最可能的诊断为()A.颅咽管瘤B.脑膜瘤C.蛛网膜囊肿...

作者: rantiku 人气: - 评论: 0
问题 女,38岁,闭经、嗜睡、尿多、视物模糊半年,精神烦躁,CT、MRI检查如图,最可能的诊断为()
选项 A.颅咽管瘤 B.脑膜瘤 C.蛛网膜囊肿 D.垂体瘤 E.表皮样囊肿
答案 A
解析

猜你喜欢

发表评论
更多 网友评论0 条评论)
暂无评论

访问排行

Copyright © 2012-2014 恰考网 Inc. 保留所有权利。 Powered by tikuer.com

页面耗时0.0448秒, 内存占用1.03 MB, Cache:redis,访问数据库20次