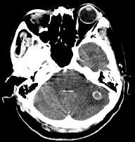
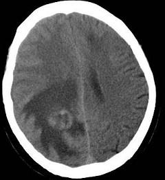
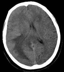
男,62岁,既往有右肺腺癌史,现出现头痛、头晕、恶心、视物模糊,CT检查如图,最可能的诊断是()A.脑梗死B.胶质瘤C.脑膜瘤...

作者: rantiku 人气: - 评论: 0
问题 男,62岁,既往有右肺腺癌史,现出现头痛、头晕、恶心、视物模糊,CT检查如图,最可能的诊断是()
选项 A.脑梗死 B.胶质瘤 C.脑膜瘤 D.畸胎瘤 E.脑转移瘤
答案 E
解析

猜你喜欢

发表评论
更多 网友评论0 条评论)
暂无评论

访问排行

Copyright © 2012-2014 恰考网 Inc. 保留所有权利。 Powered by tikuer.com

页面耗时0.0550秒, 内存占用1.03 MB, Cache:redis,访问数据库20次