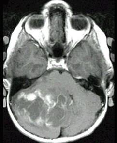
颅后窝肿瘤(如图所示)临床症状应除外()A.轮替试验幅度增大B.躯干性和下肢远端的共济失调C.交叉性麻痹D.Romberg征多为阴性E...

作者: rantiku 人气: - 评论: 0
问题 颅后窝肿瘤(如图所示)临床症状应除外()
选项 A.轮替试验幅度增大 B.躯干性和下肢远端的共济失调 C.交叉性麻痹 D.Romberg征多为阴性 E.同侧后组脑神经损伤症状
答案 D
解析

猜你喜欢

发表评论
更多 网友评论0 条评论)
暂无评论

访问排行

Copyright © 2012-2014 恰考网 Inc. 保留所有权利。 Powered by tikuer.com

页面耗时0.0381秒, 内存占用1.03 MB, Cache:redis,访问数据库20次