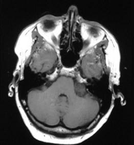
桥小脑占位性病变(如图所示)的临床表现不包括下列哪项()A.患侧神经性耳聋伴有耳鸣及小脑症状B.同侧面部感觉部分减退及轻度周围性面瘫C.产生两...

作者: rantiku 人气: - 评论: 0
问题 桥小脑占位性病变(如图所示)的临床表现不包括下列哪项()
选项 A.患侧神经性耳聋伴有耳鸣及小脑症状 B.同侧面部感觉部分减退及轻度周围性面瘫 C.产生两眼上视障碍,少数有下视障碍 D.肿瘤较大时有后组脑神经症状 E.颅内压增高症状
答案 C
解析

猜你喜欢

发表评论
更多 网友评论0 条评论)
暂无评论

访问排行

Copyright © 2012-2014 恰考网 Inc. 保留所有权利。 Powered by tikuer.com

页面耗时0.0923秒, 内存占用1.03 MB, Cache:redis,访问数据库20次