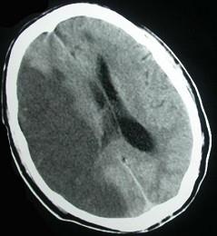
头颅CT出现如图所示脑梗死,该病灶最可能是下列哪条阻塞引起()A.大脑前动脉主干或大脑中动脉主干B.颈内动脉主干或大脑中动脉主干C.大脑中动脉...

作者: rantiku 人气: - 评论: 0
问题 头颅CT出现如图所示脑梗死,该病灶最可能是下列哪条阻塞引起()
选项 A.大脑前动脉主干或大脑中动脉主干 B.颈内动脉主干或大脑中动脉主干 C.大脑中动脉主干或大脑后动脉 D.脉络膜前动脉 E.大脑中动脉深穿支
答案 B
解析

猜你喜欢

发表评论
更多 网友评论0 条评论)
暂无评论

访问排行

Copyright © 2012-2014 恰考网 Inc. 保留所有权利。 Powered by tikuer.com

页面耗时0.0465秒, 内存占用1.03 MB, Cache:redis,访问数据库20次