患者,69岁,既往有高血压病史5年,因突发头痛,右侧肢体无力1天入院,行头颅CT扫描如图所示,可诊断为()A.左壳核出血B.左颞叶出血C.左尾...

作者: rantiku 人气: - 评论: 0
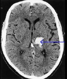
问题 患者,69岁,既往有高血压病史5年,因突发头痛,右侧肢体无力1天入院,行头颅CT扫描如图所示,可诊断为()
选项 A.左壳核出血 B.左颞叶出血 C.左尾状核 D.左丘脑出血 E.右丘脑出血
答案 D
解析

猜你喜欢

发表评论
更多 网友评论0 条评论)
暂无评论

访问排行

Copyright © 2012-2014 恰考网 Inc. 保留所有权利。 Powered by tikuer.com

页面耗时0.0572秒, 内存占用1.03 MB, Cache:redis,访问数据库20次