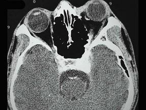
男,44岁,车祸伤及右侧眉弓和头部,当时右眼上、下睑青紫淤血,半月后右眼球结膜高度水肿视力下降,右眼球突出,CT检查如图,最可能的诊断为() ...

作者: rantiku 人气: - 评论: 0
问题 男,44岁,车祸伤及右侧眉弓和头部,当时右眼上、下睑青紫淤血,半月后右眼球结膜高度水肿视力下降,右眼球突出,CT检查如图,最可能的诊断为()
选项 A.眶内静脉曲张 B.颈内动脉海绵窦段动脉瘤 C.海绵窦动静脉瘘 D.脑动静脉畸形 E.硬脑膜动静脉瘘
答案 C
解析

猜你喜欢

发表评论
更多 网友评论0 条评论)
暂无评论

访问排行

Copyright © 2012-2014 恰考网 Inc. 保留所有权利。 Powered by tikuer.com

页面耗时0.0492秒, 内存占用1.03 MB, Cache:redis,访问数据库20次