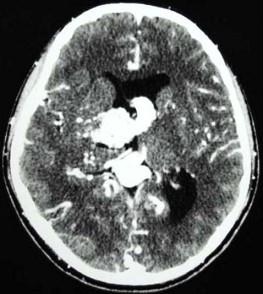
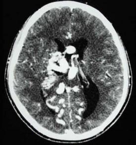
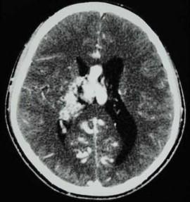
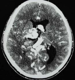
男,32岁,头痛、癫痫,查体发现视乳头水肿,CT检查如图,最可能的诊断为()A.结节状硬化B.钙化灶C.动静脉畸形D.少突胶质...

作者: rantiku 人气: - 评论: 0
问题 男,32岁,头痛、癫痫,查体发现视乳头水肿,CT检查如图,最可能的诊断为()
选项 A.结节状硬化 B.钙化灶 C.动静脉畸形 D.少突胶质瘤 E.脑囊虫
答案 C
解析

猜你喜欢

发表评论
更多 网友评论0 条评论)
暂无评论

访问排行

Copyright © 2012-2014 恰考网 Inc. 保留所有权利。 Powered by tikuer.com

页面耗时0.0473秒, 内存占用1.03 MB, Cache:redis,访问数据库19次