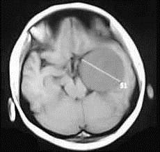
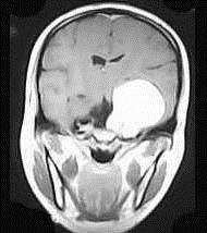
女,36岁,抽搐半年,近10余天头痛加重,磁共振检查如图,选择最可能的诊断()A.胶质瘤B.脑膜瘤C.动静脉畸形 ...

作者: rantiku 人气: - 评论: 0
问题 女,36岁,抽搐半年,近10余天头痛加重,磁共振检查如图,选择最可能的诊断()
选项 A.胶质瘤 B.脑膜瘤 C.动静脉畸形 D.海绵状血管瘤 E.蛛网膜囊肿
答案 B
解析

猜你喜欢

发表评论
更多 网友评论0 条评论)
暂无评论

访问排行

Copyright © 2012-2014 恰考网 Inc. 保留所有权利。 Powered by tikuer.com

页面耗时0.0424秒, 内存占用1.03 MB, Cache:redis,访问数据库18次