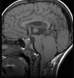
第四脑室室管膜瘤(如图所示)临床特点包括()A.颅内高压症状较早B.多以头痛为首发症状C.伴有呕吐、头晕及强迫头位D.肿瘤增大累及小脑蚓部...

作者: rantiku 人气: - 评论: 0
问题 第四脑室室管膜瘤(如图所示)临床特点包括()
选项 A.颅内高压症状较早 B.多以头痛为首发症状 C.伴有呕吐、头晕及强迫头位 D.肿瘤增大累及小脑蚓部或半球时,可出现平衡障碍、步态不稳和共济失调等 E.当肿瘤压迫脑干或脑神经时,可出现相应的脑神经障碍
答案 ABCDE
解析

猜你喜欢

发表评论
更多 网友评论0 条评论)
暂无评论

访问排行

Copyright © 2012-2014 恰考网 Inc. 保留所有权利。 Powered by tikuer.com

页面耗时0.0635秒, 内存占用1.03 MB, Cache:redis,访问数据库14次