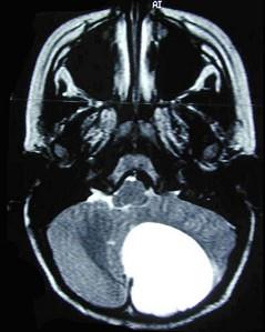
星形细胞瘤(如图所示)的特点()A.最常见的颅内胶质瘤B.多见于大脑半球,界限清楚C.中青年多见D.儿童以小脑半球多发E.实质性肿瘤手...

作者: rantiku 人气: - 评论: 0
问题 星形细胞瘤(如图所示)的特点()
选项 A.最常见的颅内胶质瘤 B.多见于大脑半球,界限清楚 C.中青年多见 D.儿童以小脑半球多发 E.实质性肿瘤手术切除可以根治
答案 ACD
解析

猜你喜欢

发表评论
更多 网友评论0 条评论)
暂无评论

访问排行

Copyright © 2012-2014 恰考网 Inc. 保留所有权利。 Powered by tikuer.com

页面耗时0.0416秒, 内存占用1.03 MB, Cache:redis,访问数据库19次