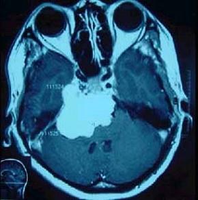
下面哪些符合脑膜瘤(如图所示)表现()A.脑膜瘤起病慢、病程长,可达数年之久B.初期症状及体征不明显,以后逐渐出现颅内高压征及局部定位症状及体征 ...

作者: rantiku 人气: - 评论: 0
问题 下面哪些符合脑膜瘤(如图所示)表现()
选项 A.脑膜瘤起病慢、病程长,可达数年之久 B.初期症状及体征不明显,以后逐渐出现颅内高压征及局部定位症状及体征 C.颅内高压征的出现通常提示瘤体已较大或肿块阻塞了脑脊液通道 D.局部定位征象因肿瘤所在部位而异 E.脑膜瘤起源于蛛网膜细胞丛,与蛛网膜颗粒关系密切
答案 ABCDE
解析

猜你喜欢

发表评论
更多 网友评论0 条评论)
暂无评论

访问排行

Copyright © 2012-2014 恰考网 Inc. 保留所有权利。 Powered by tikuer.com

页面耗时0.0488秒, 内存占用1.03 MB, Cache:redis,访问数据库18次