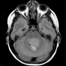
髓母细胞瘤(如图所示)的临床特点()A.高度恶性B.儿童多见C.绝大多数发生于小脑蚓部D.可发生脊髓种植性转移E.对放疗敏感

作者: rantiku 人气: - 评论: 0
问题 髓母细胞瘤(如图所示)的临床特点()
选项 A.高度恶性 B.儿童多见 C.绝大多数发生于小脑蚓部 D.可发生脊髓种植性转移 E.对放疗敏感
答案 ABCDE
解析

猜你喜欢

发表评论
更多 网友评论0 条评论)
暂无评论

访问排行

Copyright © 2012-2014 恰考网 Inc. 保留所有权利。 Powered by tikuer.com

页面耗时0.0322秒, 内存占用1.03 MB, Cache:redis,访问数据库19次