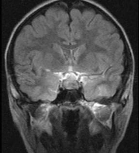
鞍区肿瘤(如图所示)的临床表现包括()A.内分泌功能障碍B.偏瘫C.失语D.视力、视野障碍E.原发性视乳头萎缩

作者: rantiku 人气: - 评论: 0
问题 鞍区肿瘤(如图所示)的临床表现包括()
选项 A.内分泌功能障碍 B.偏瘫 C.失语 D.视力、视野障碍 E.原发性视乳头萎缩
答案 ADE
解析

猜你喜欢

发表评论
更多 网友评论0 条评论)
暂无评论

访问排行

Copyright © 2012-2014 恰考网 Inc. 保留所有权利。 Powered by tikuer.com

页面耗时0.0434秒, 内存占用1.03 MB, Cache:redis,访问数据库19次