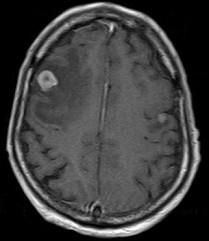
大脑半球肿瘤(如图所示)的临床表现有()A.精神症状B.癫痫发作C.感觉障碍D.运动障碍E.视野缺损

作者: rantiku 人气: - 评论: 0
问题 大脑半球肿瘤(如图所示)的临床表现有()
选项 A.精神症状 B.癫痫发作 C.感觉障碍 D.运动障碍 E.视野缺损
答案 ABCDE
解析

猜你喜欢

发表评论
更多 网友评论0 条评论)
暂无评论

访问排行

Copyright © 2012-2014 恰考网 Inc. 保留所有权利。 Powered by tikuer.com

页面耗时0.0439秒, 内存占用1.03 MB, Cache:redis,访问数据库19次