病历摘要:??患者,男,40岁。发作性左下肢抽搐1年余,每次发作3~5分,每周发作1~2次。每次发作后感左下肢乏力,约半日后可自行恢复。既往身体健康。体检...

作者: rantiku 人气: - 评论: 0
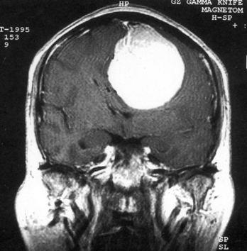
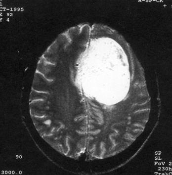
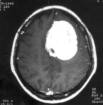
问题 病历摘要:??患者,男,40岁。发作性左下肢抽搐1年余,每次发作3~5分,每周发作1~2次。每次发作后感左下肢乏力,约半日后可自行恢复。既往身体健康。体检:神清,头顶部偏右有局限性骨性隆起(1.5×1.5cm),左鼻唇沟稍浅,伸舌居中。感觉、运动无明显异常。左浅反射减退,左下肢腱反射稍亢进,左Babinski征(-)。 根据病史、MR结果,考虑哪种诊断?提示:头颅?MR检查(见图)
选项 A.右顶叶星形细胞瘤 B.右顶叶转移瘤 C.脑膜瘤 D.右顶叶淋巴瘤 E.右顶叶少枝胶质细胞瘤 F.脑脓肿 G.右顶叶炎性肉芽肿
答案 C
解析 C

猜你喜欢

发表评论
更多 网友评论0 条评论)
暂无评论

访问排行

Copyright © 2012-2014 恰考网 Inc. 保留所有权利。 Powered by tikuer.com

页面耗时0.0488秒, 内存占用1.03 MB, Cache:redis,访问数据库20次