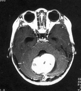
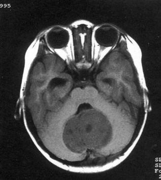
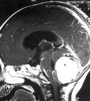
病历摘要:??患儿男性,11岁。半年前开始出现行走不稳,常无故跌倒。半月前出现发作性剧烈头痛,伴恶心呕吐。体检:T36℃,P100次/分,R22次/分,B...

作者: rantiku 人气: - 评论: 0
问题 病历摘要:??患儿男性,11岁。半年前开始出现行走不稳,常无故跌倒。半月前出现发作性剧烈头痛,伴恶心呕吐。体检:T36℃,P100次/分,R22次/分,BP100/60mmHg,神清,言语较缓慢,双眼外展约不及边,双眼侧视时有小幅度水平眼震。四肢肌力正常,右上肢肌张力较低,坐位姿势不稳,常不自主摇晃,双上肢指鼻不准,行走蹒跚步态,足距扩大,身前倾。 下一步应首先行何种后续治疗?提示:经腰穿置管脑脊液外引流等处理,脑脊液渗漏停止。肿瘤病理为髓母细胞瘤。
选项 A.γ-刀 B.X-刀 C.全脑全脊髓放疗 D.化疗 E.免疫治疗 F.基因治疗 G.光子刀 H.无需治疗
答案 C
解析 C

猜你喜欢

发表评论
更多 网友评论0 条评论)
暂无评论

访问排行

Copyright © 2012-2014 恰考网 Inc. 保留所有权利。 Powered by tikuer.com

页面耗时0.0408秒, 内存占用1.03 MB, Cache:redis,访问数据库19次