病历摘要:??患者女性,37岁。大便时突起炸裂样头痛3小时,伴喷射样呕吐。既往体健。体检:T37.5℃,BP145/90mmHg,R20次/分,P85次/...

作者: rantiku 人气: - 评论: 0
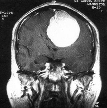
问题 病历摘要:??患者女性,37岁。大便时突起炸裂样头痛3小时,伴喷射样呕吐。既往体健。体检:T37.5℃,BP145/90mmHg,R20次/分,P85次/分。神志清楚,颅神经检查无异常,颈强直,克、布氏征(-),四肢肌力、肌张力正常,病理征(-)。 目前一般认为颅内动脉瘤形成的病因主要有哪些?提示:入院后?10小时行DSA检查,发现前交通动脉瘤
选项 A.脑动脉分叉处管壁中层先天性发育缺陷 B.遗传 C.动脉硬化 D.感染 E.外伤 F.基因突变 G.血流冲击 H.环境污染
答案 ACDEG
解析 ACDEG

猜你喜欢

发表评论
更多 网友评论0 条评论)
暂无评论

访问排行

Copyright © 2012-2014 恰考网 Inc. 保留所有权利。 Powered by tikuer.com

页面耗时0.0369秒, 内存占用1.03 MB, Cache:redis,访问数据库16次