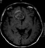
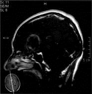
病历摘要:??患者男性,56岁,因右侧视力下降伴视野缺损2个月来院就诊,诉头痛,无明显头晕,无视物重影,无恶心呕吐,无肢体抽搐,无肢体乏力,胃纳佳,大小便...

作者: rantiku 人气: - 评论: 0
问题 病历摘要:??患者男性,56岁,因右侧视力下降伴视野缺损2个月来院就诊,诉头痛,无明显头晕,无视物重影,无恶心呕吐,无肢体抽搐,无肢体乏力,胃纳佳,大小便正常,既往史无特殊,入院检查:神志清楚,言语清楚,体毛分布正常,左侧视力4.6,右侧视力4.0,粗侧右颞侧视野缺损,左侧正常,颈软,四肢肌张力正常,肌力正常,病理征(-)。 术中的处理,下列那些正确的??提示:本例患者采用翼点开颅瘤蒂夹闭术
选项 A.瘤体太大,瘤蒂不易找到,在可能瘤颈位置上瘤夹 B.瘤蒂稍宽,可用双极电凝使蒂缩小再上瘤夹 C.瘤蒂很宽,用两个瘤夹从相对方向各夹一半 D.用一穿刺针刺入动脉瘤,用力抽吸血液使瘤壁塌陷,迅速分离瘤蒂予夹闭 E.本例患者夹闭瘤颈后,仍应作瘤体切除,或瘤内血栓清楚 F.夹闭瘤蒂后,应用针穿刺瘤腔,检查有无活动出血 G.夹闭瘤蒂后如果严重影响动脉血流,不宜调整瘤夹或改变术式
答案 BCDEF
解析 BCDEF

猜你喜欢

发表评论
更多 网友评论0 条评论)
暂无评论
错误啦!

错误信息

  • 消息: [程序异常] : MISCONF Redis is configured to save RDB snapshots, but it's currently unable to persist to disk. Commands that may modify the data set are disabled, because this instance is configured to report errors during writes if RDB snapshotting fails (stop-writes-on-bgsave-error option). Please check the Redis logs for details about the RDB error.
  • 文件: /twcms/kongphp/cache/cache_redis.class.php
  • 位置: 第 85 行
    <?php echo 'KongPHP, Road to Jane.'; ?>