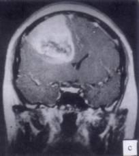
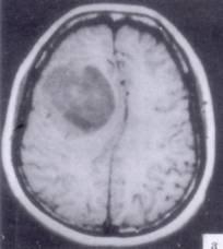
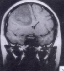
病历摘要:??患者男性,52岁。头痛伴呕吐2月,呕吐呈喷射性。既往身体健康。体检:神清,表情淡漠,反应迟钝,双眼底视神经乳头明显水肿,左鼻唇沟稍浅,左腹壁...

作者: rantiku 人气: - 评论: 0
问题 病历摘要:??患者男性,52岁。头痛伴呕吐2月,呕吐呈喷射性。既往身体健康。体检:神清,表情淡漠,反应迟钝,双眼底视神经乳头明显水肿,左鼻唇沟稍浅,左腹壁反射减弱,左上下肢肌力4级,左Babinski征(-)。 为明确诊断,可申请哪些辅助检查?
选项 A.内分泌功能检查 B.脑电图 C.头颅平片 D.头颅MR E.TCD F.SPECT G.CT H.PET
答案 DG
解析 DG

猜你喜欢

发表评论
更多 网友评论0 条评论)
暂无评论

访问排行

Copyright © 2012-2014 恰考网 Inc. 保留所有权利。 Powered by tikuer.com

页面耗时0.0763秒, 内存占用1.03 MB, Cache:redis,访问数据库17次