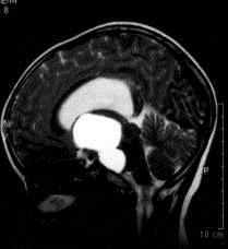
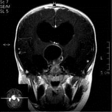
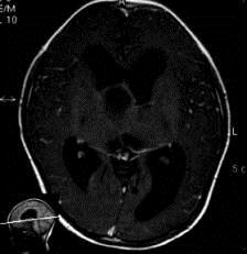
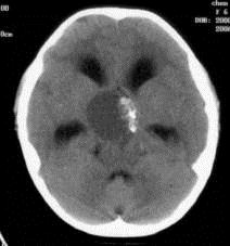
病历摘要:??患者女性,6岁,半年来感觉视力模糊,近10天出现反复头痛,间有恶心呕吐,精神转差,查体:神志清楚,身高90cm,体重25Kg,血压90/55...

作者: rantiku 人气: - 评论: 0
问题 病历摘要:??患者女性,6岁,半年来感觉视力模糊,近10天出现反复头痛,间有恶心呕吐,精神转差,查体:神志清楚,身高90cm,体重25Kg,血压90/55mmHg,右眼视力4.6,左眼视力4.8,双侧视乳头水肿,颈软,伸舌居中,四肢肌张力正常,肌力5级,双侧Babinski征(-)。 入院检查头部MRI,如图所示,诊断有可能是?
选项 A.垂体腺瘤 B.生殖细胞瘤 C.颅咽管瘤 D.视神经胶质瘤 E.蛛网膜囊肿 F.鞍结节脑膜瘤 G.脑积水
答案 CG
解析 CG

猜你喜欢

发表评论
更多 网友评论0 条评论)
暂无评论

访问排行

Copyright © 2012-2014 恰考网 Inc. 保留所有权利。 Powered by tikuer.com

页面耗时0.0448秒, 内存占用1.03 MB, Cache:redis,访问数据库20次