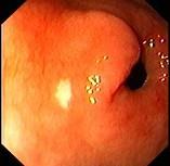
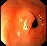
女性,38岁,反复上腹饱胀不适2年,以餐后为甚,伴反酸、嗳气、食欲不振等,体重无明显下降。查体无明显异常。胃镜检查胃窦可见一片状黄色斑块,如下图:该病人最...

作者: rantiku 人气: - 评论: 0
问题 女性,38岁,反复上腹饱胀不适2年,以餐后为甚,伴反酸、嗳气、食欲不振等,体重无明显下降。查体无明显异常。胃镜检查胃窦可见一片状黄色斑块,如下图:该病人最可能的诊断是 ( )
选项 A.胃黄斑瘤 B.慢性浅表性胃炎 C.消化性溃疡 D.胃泌素瘤 E.胃癌
答案 A
解析

猜你喜欢

发表评论
更多 网友评论0 条评论)
暂无评论

访问排行

Copyright © 2012-2014 恰考网 Inc. 保留所有权利。 Powered by tikuer.com

页面耗时0.0426秒, 内存占用1.03 MB, Cache:redis,访问数据库19次