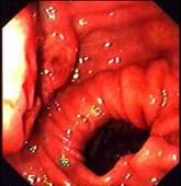
患者,男,16岁,反复发热、消瘦1月,查体:心肺腹无阳性体征。电子胃镜图片如下,诊断为 ( )A.胃癌B.胃淋巴瘤C.胃溃疡D.胃溃疡...

作者: rantiku 人气: - 评论: 0
问题 患者,男,16岁,反复发热、消瘦1月,查体:心肺腹无阳性体征。电子胃镜图片如下,诊断为 ( )
选项 A.胃癌 B.胃淋巴瘤 C.胃溃疡 D.胃溃疡并真菌感染 E.克罗恩病
答案 B
解析

猜你喜欢

发表评论
更多 网友评论0 条评论)
暂无评论

访问排行

Copyright © 2012-2014 恰考网 Inc. 保留所有权利。 Powered by tikuer.com

页面耗时0.0402秒, 内存占用1.03 MB, Cache:redis,访问数据库20次