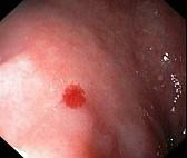
下面电子胃镜图片考虑为何种疾病 ( )A.糜烂性胃炎B.胃溃疡C.胃血管发育不良D.胃横径动脉出血E.胃蜘蛛痣

作者: rantiku 人气: - 评论: 0
问题 下面电子胃镜图片考虑为何种疾病 ( )
选项 A.糜烂性胃炎 B.胃溃疡 C.胃血管发育不良 D.胃横径动脉出血 E.胃蜘蛛痣
答案 C
解析

猜你喜欢

发表评论
更多 网友评论0 条评论)
暂无评论

访问排行

Copyright © 2012-2014 恰考网 Inc. 保留所有权利。 Powered by tikuer.com

页面耗时0.0375秒, 内存占用1.03 MB, Cache:redis,访问数据库18次