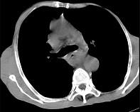
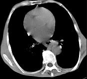
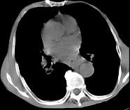
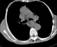
女,71岁,进食时有梗阻感,进行性加重半年,影像检查如图,最可能的诊断是 ( )A.贲门失弛缓症B.食管癌并纵隔淋巴结转移C.食管...

作者: rantiku 人气: - 评论: 0
问题 女,71岁,进食时有梗阻感,进行性加重半年,影像检查如图,最可能的诊断是 ( )
选项 A.贲门失弛缓症 B.食管癌并纵隔淋巴结转移 C.食管良性狭窄 D.反流性食管炎 E.食管静脉曲张
答案 B
解析

猜你喜欢

发表评论
更多 网友评论0 条评论)
暂无评论

访问排行

Copyright © 2012-2014 恰考网 Inc. 保留所有权利。 Powered by tikuer.com

页面耗时0.0398秒, 内存占用1.03 MB, Cache:redis,访问数据库20次