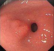
患者,男,59岁,上腹不适2周,查体:心肺腹未见异常。电子胃镜图片及超声内镜如下,进一步要做的最佳治疗方案为 ( )A.电子胃镜下切除...

作者: rantiku 人气: - 评论: 0
问题 患者,男,59岁,上腹不适2周,查体:心肺腹未见异常。电子胃镜图片及超声内镜如下,进一步要做的最佳治疗方案为 ( )
选项 A.电子胃镜下切除 B.外科手术切除 C.电子胃镜联合腹腔镜切除 D.随访观察 E.口服抗肿瘤药
答案 C
解析

猜你喜欢

发表评论
更多 网友评论0 条评论)
暂无评论

访问排行

Copyright © 2012-2014 恰考网 Inc. 保留所有权利。 Powered by tikuer.com

页面耗时0.0410秒, 内存占用1.03 MB, Cache:redis,访问数据库19次