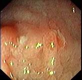
女,26岁,反复右下腹疼痛4年,伴糊状腹泻,无粘液和脓血。查体:右下腹压痛,未触及包块。结肠镜检查如图,多部位活检发现炎症细胞浸润,以淋巴细胞为主,有非干...

作者: rantiku 人气: - 评论: 0
问题 女,26岁,反复右下腹疼痛4年,伴糊状腹泻,无粘液和脓血。查体:右下腹压痛,未触及包块。结肠镜检查如图,多部位活检发现炎症细胞浸润,以淋巴细胞为主,有非干酪样肉芽肿。最可能的诊断为 ( )
选项 A.溃疡性结肠炎 B.Crohn病 C.肠结核 D.慢性阑尾炎 E.细菌性痢疾
答案 B
解析

猜你喜欢

发表评论
更多 网友评论0 条评论)
暂无评论

访问排行

Copyright © 2012-2014 恰考网 Inc. 保留所有权利。 Powered by tikuer.com

页面耗时0.0376秒, 内存占用1.03 MB, Cache:redis,访问数据库19次