男性,38岁,反复上腹痛6月,疼痛无明显规律性,应用抗酸剂治疗腹痛有时能缓解,伴腹胀、食欲减退、消瘦明显,查体:贫血外观,左锁骨上未触及肿大淋巴结,腹部可...

作者: rantiku 人气: - 评论: 0
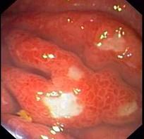
问题 男性,38岁,反复上腹痛6月,疼痛无明显规律性,应用抗酸剂治疗腹痛有时能缓解,伴腹胀、食欲减退、消瘦明显,查体:贫血外观,左锁骨上未触及肿大淋巴结,腹部可触及一包块。粪隐血阴性。胃镜检查如下图:该病人最可能的诊断是 ( )
选项 A.胃黄斑瘤 B.胃癌 C.胃溃疡恶变 D.胃泌素瘤 E.胃淋巴瘤
答案 E
解析

猜你喜欢

发表评论
更多 网友评论0 条评论)
暂无评论

访问排行

Copyright © 2012-2014 恰考网 Inc. 保留所有权利。 Powered by tikuer.com

页面耗时0.0326秒, 内存占用1.03 MB, Cache:redis,访问数据库20次