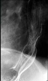
女性,65岁,进行性吞咽困难半年,消瘦,钡餐检查如图,最佳的诊断是 ( )A.贲门失弛缓症B.食管静脉曲张C.食管鳞状(上皮)细胞...

作者: rantiku 人气: - 评论: 0
问题 女性,65岁,进行性吞咽困难半年,消瘦,钡餐检查如图,最佳的诊断是 ( )
选项 A.贲门失弛缓症 B.食管静脉曲张 C.食管鳞状(上皮)细胞癌 D.贲门癌 E.反流性食管炎
答案 C
解析

猜你喜欢

发表评论
更多 网友评论0 条评论)
暂无评论

访问排行

Copyright © 2012-2014 恰考网 Inc. 保留所有权利。 Powered by tikuer.com

页面耗时0.0292秒, 内存占用1.03 MB, Cache:redis,访问数据库19次