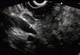
图中白色箭头所指可能诊断是 ( )A.胰腺占位B.肿大淋巴结C.血管影D.胆总管E.胆囊

作者: rantiku 人气: - 评论: 0
问题 图中白色箭头所指可能诊断是 ( )
选项 A.胰腺占位 B.肿大淋巴结 C.血管影 D.胆总管 E.胆囊
答案 B
解析
发表评论
更多 网友评论0 条评论)
暂无评论

访问排行

Copyright © 2012-2014 恰考网 Inc. 保留所有权利。 Powered by tikuer.com

页面耗时0.0378秒, 内存占用1.03 MB, Cache:redis,访问数据库20次