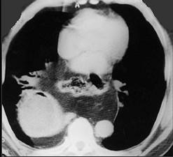
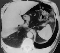
女,43岁,急性胸骨后剧痛,腹痛腹胀、呕吐,影像检查如图,最佳的诊断是 ( )A.后纵隔神经源性肿瘤B.右下肺癌C.食管裂孔疝并胃扭转...

作者: rantiku 人气: - 评论: 0
问题 女,43岁,急性胸骨后剧痛,腹痛腹胀、呕吐,影像检查如图,最佳的诊断是 ( )
选项 A.后纵隔神经源性肿瘤 B.右下肺癌 C.食管裂孔疝并胃扭转 D.后纵隔畸胎瘤 E.后纵隔脓肿
答案 C
解析

猜你喜欢

发表评论
更多 网友评论0 条评论)
暂无评论

访问排行

Copyright © 2012-2014 恰考网 Inc. 保留所有权利。 Powered by tikuer.com

页面耗时0.0333秒, 内存占用1.03 MB, Cache:redis,访问数据库19次