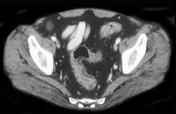
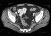
男,35岁,腹痛、腹泻、腹胀、脓血便、里急后重,结合图像,选择最可能诊断 ( )A.溃疡性结肠炎B.结肠克罗恩病C.结肠结核D.假膜性...

作者: rantiku 人气: - 评论: 0
问题 男,35岁,腹痛、腹泻、腹胀、脓血便、里急后重,结合图像,选择最可能诊断 ( )
选项 A.溃疡性结肠炎 B.结肠克罗恩病 C.结肠结核 D.假膜性肠炎 E.结肠淋巴瘤
答案 A
解析

猜你喜欢

发表评论
更多 网友评论0 条评论)
暂无评论

访问排行

Copyright © 2012-2014 恰考网 Inc. 保留所有权利。 Powered by tikuer.com

页面耗时0.0390秒, 内存占用1.03 MB, Cache:redis,访问数据库19次